
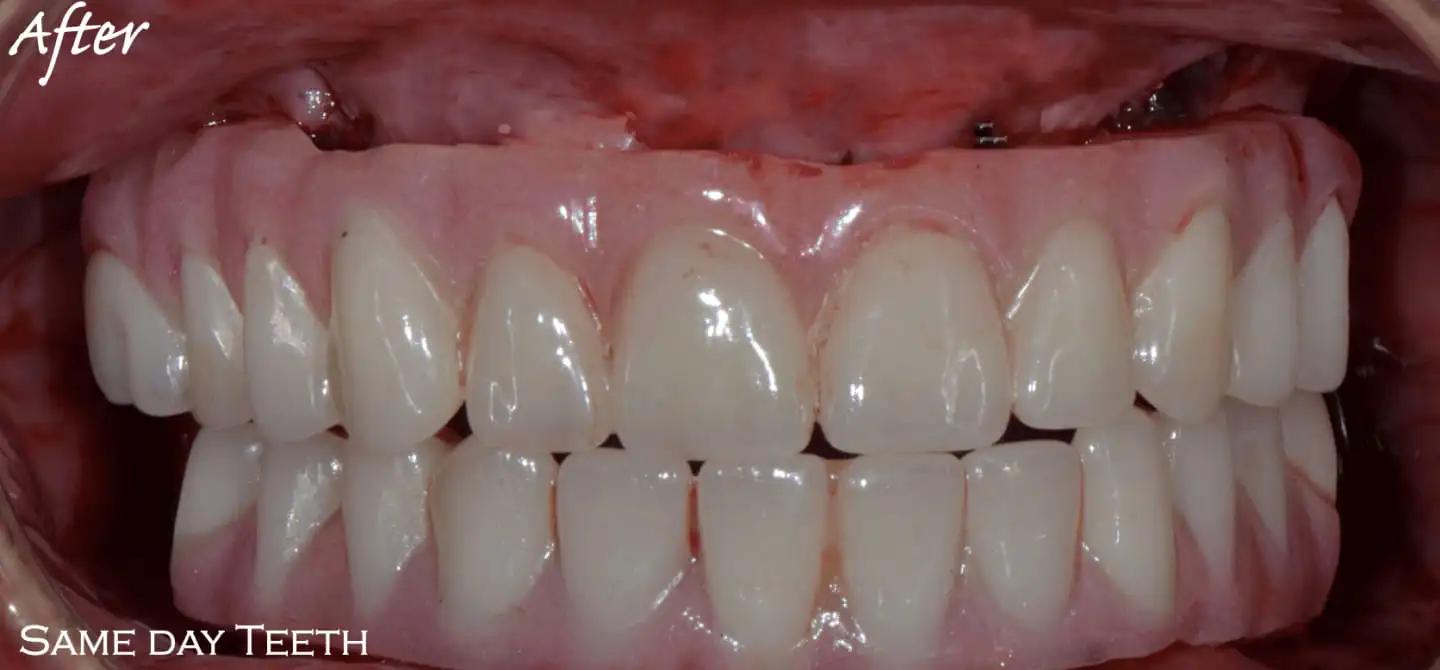
At our office, we take pride in helping patients reclaim their smiles and confidence. We are pleased to showcase before and after photos of some of our most dramatic transformations below (may have been completed at one of our other offices, but by our same doctors). Many patients who visit us arrive with unique stories of dental damage or deterioration—challenges that no one should have to face. Below, you will find real-life before and after photos of patients who underwent various dental procedures, from implants to restorations, and came out smiling.
Please note that some of the photos contain graphic details of pre-surgery dental conditions and post-surgical sites. Sensitive viewers may wish to proceed to our "Dental Implants" section to learn more about the treatment options available for all patients, regardless of their situation.
Fill out the form and our team will get back to you within 24 hours. For a faster response, open the chat window or call us at the number below.